インプラントがグラグラして痛い場合の原因と治療法
ケースの概要
70代女性
他医院でインプラント治療を行ったが、治療後に「インプラントがグラグラする。」「インプラントが痛い。」などの症状を発症。「インプラントは問題なく埋まっている。咬合調整をすれば症状は改善する。」と言われ、数か月間通院したが一向に改善しなかった。そこで、クリニック長が日本口腔インプラント学会専門医である当院にセカンドオピニオンで来院。

また、下顎の歯の内側には骨隆起(こつりゅうき)も見られました。骨隆起は、癌や腫瘍とは違い、放置しておいても問題ないこともありますが、今回のケースは骨隆起も原因となっている珍しいケースでした。

グラグラする原因は骨吸収?

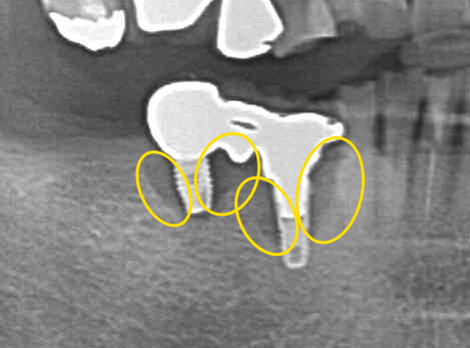
こちらは、先述のセカンドオピニオン来院時のレントゲン写真を拡大した写真です。
インプラントの周りが、少し色が変わっています。骨吸収が起きてしまっています。これは骨が溶けてなくなってしまっている状態です。
インプラントを支えている骨が無くなってしまっているので、インプラントがグラグラしてしまいます。このまま放置すると、更に骨が無くなっていき、ついにインプラントが抜け落ちてしまうことが予想されます。
治療法について
今回のケースでは以下の治療を行いました。
治療1不良インプラントの除去



治療2骨隆起の除去
治療3顎堤形成術
治療3インプラントの再埋入



